Improved valve function
Procedure
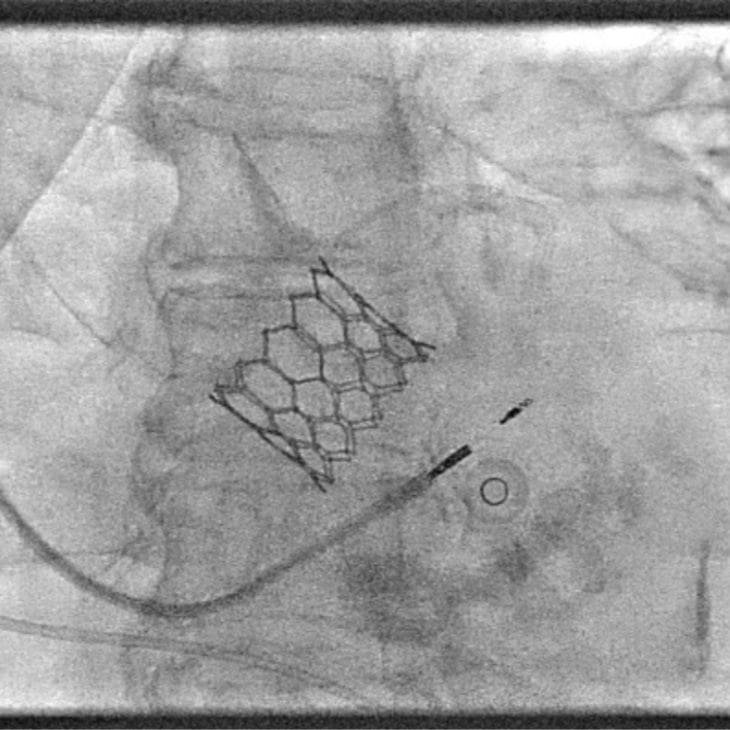
TAVI WITH DR SAYAN SEN

Procedure at a glance
Expected results:
Treatment time:
1-2 hours
Anaesthetic:
General or local with sedation
Downtime:
3-5 days
Longevity:
10+ years (valve dependent)
Expected results:
Improved valve function
Treatment time:
1-2 hours
Anaesthetic:
General or local with sedation
Downtime:
3-5 days
Longevity:
10+ years (valve dependent)
TAVI is a minimally invasive procedure to replace a narrowed aortic valve without open-heart surgery. Dr Sayan Sen offers expert transcatheter valve replacement from specialist cardiology centres in London for patients with severe aortic stenosis.
What is TAVI?
TAVI (Transcatheter Aortic Valve Implantation) is a procedure to replace a diseased aortic valve using a catheter-based approach, without the need for major surgery. It’s primarily used for patients with severe aortic stenosis.
A new valve is delivered through a blood vessel (usually via the groin) and positioned within the existing narrowed valve. Once in place, the replacement valve takes over blood flow control. TAVI offers a faster recovery, making it suitable for patients who may not be eligible for traditional open-heart valve surgery.
When Might You Need TAVI?
TAVI is recommended when the aortic valve becomes severely narrowed and begins to restrict blood flow, leading to symptoms or risk of heart failure.
- Severe aortic stenosis: Narrowing of the aortic valve causes breathlessness, fatigue or chest pain.
- High surgical risk: Ideal for patients unsuitable for conventional open-heart valve surgery.
- Fainting or dizziness: May occur when the heart can’t pump enough blood due to valve obstruction.
- Heart failure symptoms: Such as leg swelling, fluid retention or reduced exercise tolerance linked to valve disease.
What to Expect Following TAVI
Patients typically recover quickly after TAVI, with most returning home within a few days. Dr Sen will monitor your heart function and medications closely.
Follow-up care includes repeat echocardiography and clinical assessments to ensure the valve is working well. With clinics across London ongoing monitoring and cardiac rehabilitation are coordinated to help you regain strength, reduce risk and improve long-term heart health.
FAQs
Is TAVI permanent?
TAVI valves are designed to function long-term, though durability may vary. In many patients, the valve lasts over 10 years. Dr Sen will advise on monitoring and follow-up. Regular check-ups and echocardiograms are important to track valve function over time, especially in younger or more active patients.
Will I be awake during the procedure?
TAVI is usually performed under light sedation or local anaesthetic. You may remain awake but relaxed and pain-free. In some cases, general anaesthesia may be used. The procedure is carried out in a specialised cardiac catheter lab with advanced imaging to guide precise valve positioning.
How does TAVI differ from open-heart surgery?
TAVI avoids the need for sternotomy (chest opening) and heart-lung bypass. It’s less invasive, with faster recovery times and fewer complications – especially beneficial for older adults or those with coexisting conditions. Dr Sen will assess which option best suits your anatomy, risk profile and personal preferences.