Heart health insights
Procedure
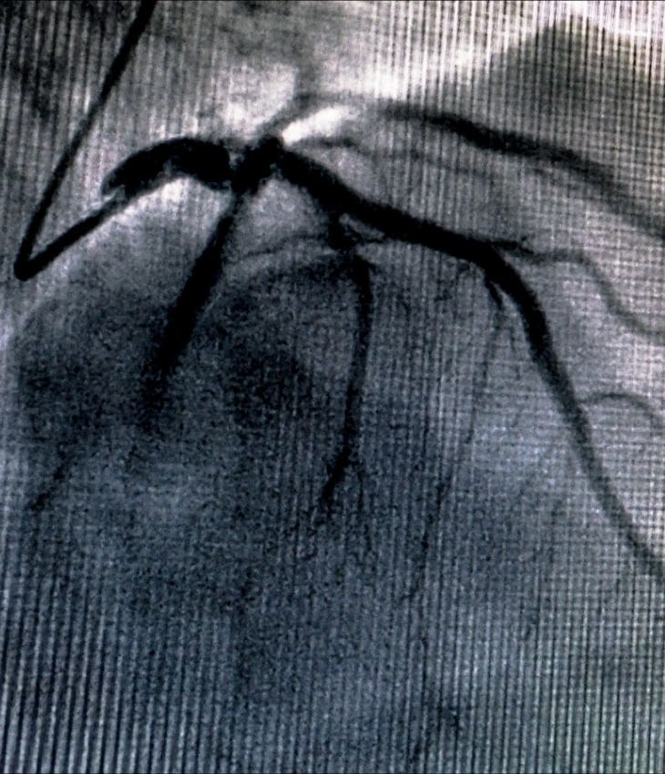
ADVANCED IMAGING BY DR SEN

Procedure at a glance
Expected result:
Treatment time:
30-90 minutes
Anaesthetic:
Not required
Expected downtime:
Little to none
Longevity:
Clinically determined
Expected result:
Heart health insights
Treatment time:
30-90 minutes
Anaesthetic:
Not required
Expected downtime:
Little to none
Longevity:
Clinically determined
Advanced cardiac imaging provides detailed insights into your heart’s structure and function. At Dr Sayan Sen’s private cardiology clinics in London these leading-edge tests help detect, confirm, and monitor complex heart conditions with greater clarity and precision.
What is Advanced Imaging?
Advanced imaging refers to specialised, high-resolution scans used to assess the heart and blood vessels in greater detail than basic diagnostics allow.
At Dr Sen’s clinics, these include cardiac MRI, CT coronary angiography, and echocardiography with Doppler analysis. These tests help visualise heart anatomy, blood flow, valve function and coronary artery disease. They are often used to confirm a diagnosis, guide treatment decisions, or monitor progress in patients with known or suspected cardiac conditions. All imaging is performed in partnership with top-tier diagnostic centres for maximum accuracy.
When Might You Need Advanced Imaging?
Advanced imaging is recommended when more detailed heart assessment is needed, especially after abnormal results from initial tests or in high-risk patients.
- Suspected coronary artery disease: To detect narrowed or blocked arteries non-invasively using CT coronary angiography.
- Heart valve disorders: To assess valve structure and function via echocardiography or cardiac MRI.
- Unexplained symptoms: When symptoms like chest pain or fainting require deeper diagnostic evaluation.
- Cardiac monitoring post-treatment: To assess recovery or treatment effectiveness in conditions like myocarditis or cardiomyopathy.
What to Expect Following Advanced Imaging
After your scan, Dr Sen will interpret the images personally and discuss your results in detail during a face-to-face or telephone consultation.
Depending on your results, he may recommend further investigations, medical therapy, or interventional procedures. These tests are safe, accurate and non-invasive, though CT scans involve minimal radiation. With private clinics in London you’ll receive clear answers and a proactive care plan tailored to your cardiac health.
FAQs
Is advanced cardiac imaging safe?
Advanced cardiac imaging is generally very safe. MRI and echocardiography use no radiation, while CT scans use a low dose to gain high-detail images of the heart and arteries. These tests are carefully selected based on your medical needs and performed in controlled environments, either in Dr Sen’s partner facilities or trusted diagnostic centres in London.
Will I need to prepare for my scan?
Some scans require preparation. For example, you may be asked to avoid caffeine or certain medications before a CT coronary angiogram. In most cases, you can eat and drink normally and continue with your regular medication unless instructed otherwise. You’ll receive full preparation guidance in advance of your appointment.
How long does it take to receive results?
Results are typically available within 24-72 hours, depending on the type of imaging. Dr Sen will review your results personally and explain what they mean for your heart health. He’ll then guide you through next steps, whether that’s further testing, lifestyle changes, or a treatment plan.