High cholesterol is a key risk factor for heart disease. Managing it effectively helps safeguard long-term cardiovascular health.
Symptoms
CHOLESTEROL: MANAGING LEVELS TO PROTECT YOUR HEART HEALTH WITH DR SAYAN SEN
Overview
Cholesterol is a fatty substance essential for normal body function. However, when levels – particularly low-density lipoprotein (LDL or ‘bad’ cholesterol) – become too high, fatty deposits can build up in the arteries.
This increases the risk of coronary artery disease, heart attacks, and strokes. High cholesterol usually has no symptoms, so many people are unaware until tested. Factors such as diet, genetics, and lifestyle all influence cholesterol levels. Dr Sayan Sen, a leading consultant cardiologist, provides expert assessment and management for patients diagnosed with raised cholesterol. Through a calm, personalised approach, he helps patients understand their cholesterol profile and supports them in lowering cardiovascular risk through tailored investigations, advice, and treatment.
INVESTIGATING AND TREATING HIGH CHOLESTEROL
When you visit Dr Sayan Sen, he’ll review your cholesterol results alongside a full medical history, lifestyle factors, and family background. A lipid profile blood test may be repeated for confirmation.
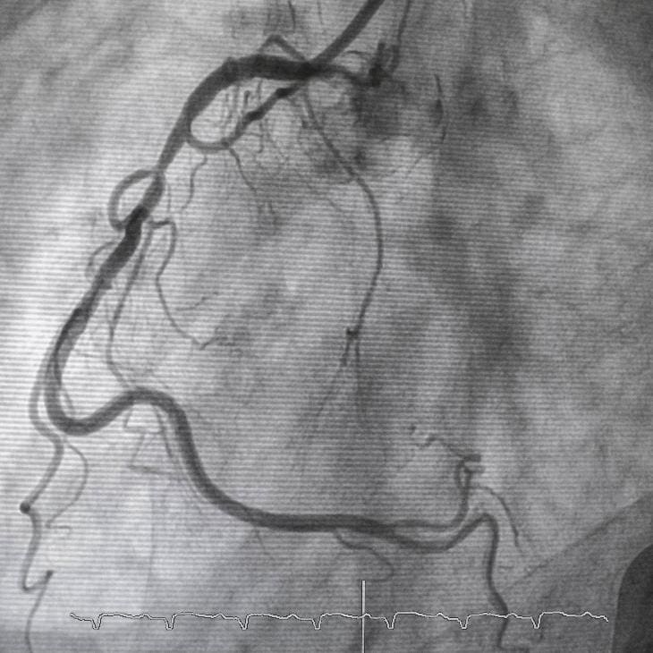
To assess whether high cholesterol has already affected your heart, Dr Sen may recommend investigations such as an echocardiogram, coronary angiography, or advanced imaging. If needed, tests like a cardiopulmonary exercise test (CPET) can evaluate your heart’s performance. Treatment may involve lifestyle changes – such as diet and exercise advice – as well as cholesterol-lowering medication like statins. Dr Sen will clearly explain your results and guide you through a personalised plan aimed at reducing cardiovascular risk safely and effectively.
Clinical Spotlight
Basic Diagnostics
Exercise Tests – ETT and ESE
Cardiopulmonary Exercise Test
Advanced Imaging – CTCA, MRI
Angiography
Angioplasty (Stent)
TAVI
Renal Denervation
Basic Diagnostics
Exercise Tests – ETT and ESE
Cardiopulmonary Exercise Test
Advanced Imaging – CTCA, MRI
Angiography
Angioplasty (Stent)
TAVI
Renal Denervation
PERSONAL CARE
TRUSTED SPACE
When under Dr Sen’s care, patients experience more than just expert treatment – they feel seen, heard, and supported. He has created an environment built on trust, empathy, and expertise, where comfort and confidence come first.
Your heart health truly matters.
WHAT PATIENTS SAY
Hearing from other patients can be reassuring. The honest stories and experiences shared on this site reflect the care, trust, and results Dr Sen strives to deliver to each individual.